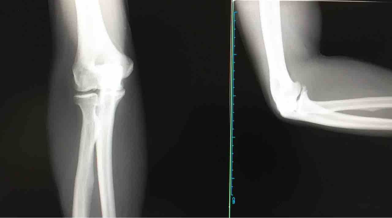
20185月29 黄金の右(笑) 肘周辺が炎症。長年、酷使してるからねー(^^;。一部変形しているものの骨には異常なし。注射して飲み薬、貼り薬をもらった^_^v。メガで鍛えすぎたな(笑)。ストレッチをするようアドバイスを受けた。たしかに前腕はやってないね。また、伸び代発見♪(笑)。 「日記」カテゴリの最新記事 コメント コメントフォーム 名前 コメント 評価する リセット リセット 顔 星 投稿する 情報を記憶
コメント